Usluge
Za više informacija – kliknite na sliku
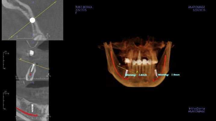
Kompletna analiza 3d snimka (planiranje implantata)

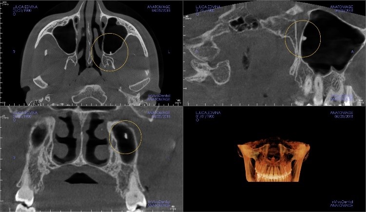
3D dijagnostika u
oblasti ORL

3D endoprogram

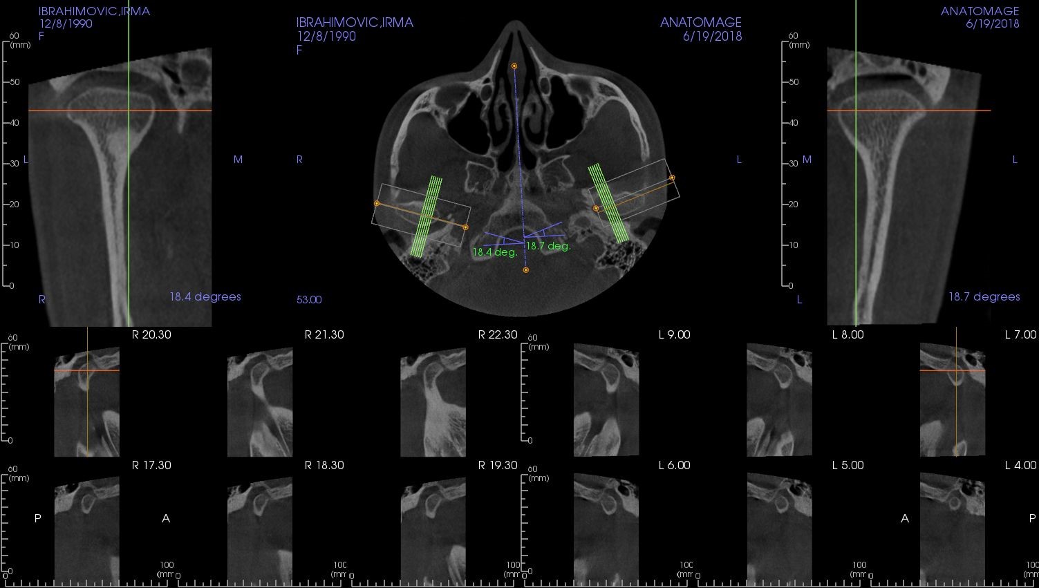
TMZ (temporomandibularni zglobovi)

OPT snimak

Cefalometrijski program (CEPH)

Za više informacija – kliknite na sliku